Read more about the article SIGNS & SYMPTOMS OF LYMPHOMA
Bone marrow examination procedure: biopsy, aspiration or paracentesis concept photo. Doctor holds in hand dressed in glove syringe needle and puncture model of hip bone to take analysis of bone marrow

SIGNS & SYMPTOMS OF LYMPHOMA

Chronic Myeloid Leukemia is a type of cancer. It starts in the blood cells of bone marrow. There is a soft part inside the bones, where blood cells are formed…

Continue ReadingSIGNS & SYMPTOMS OF LYMPHOMA
Read more about the article TREATMENT OF HODGKIN LYMPHOMA(HL)
Young woman pulling off her bonnet and showing her bald head. The loss of hair is on secondary effect of the chemotherapy because of cancer.

TREATMENT OF HODGKIN LYMPHOMA(HL)

If one has been diagnosed with Hodgkin lymphoma (HL), the clinical hematologist or hemato-oncologist will discuss treatment options. To weigh the benefits of each treatment option against the possible risks…

Continue ReadingTREATMENT OF HODGKIN LYMPHOMA(HL)
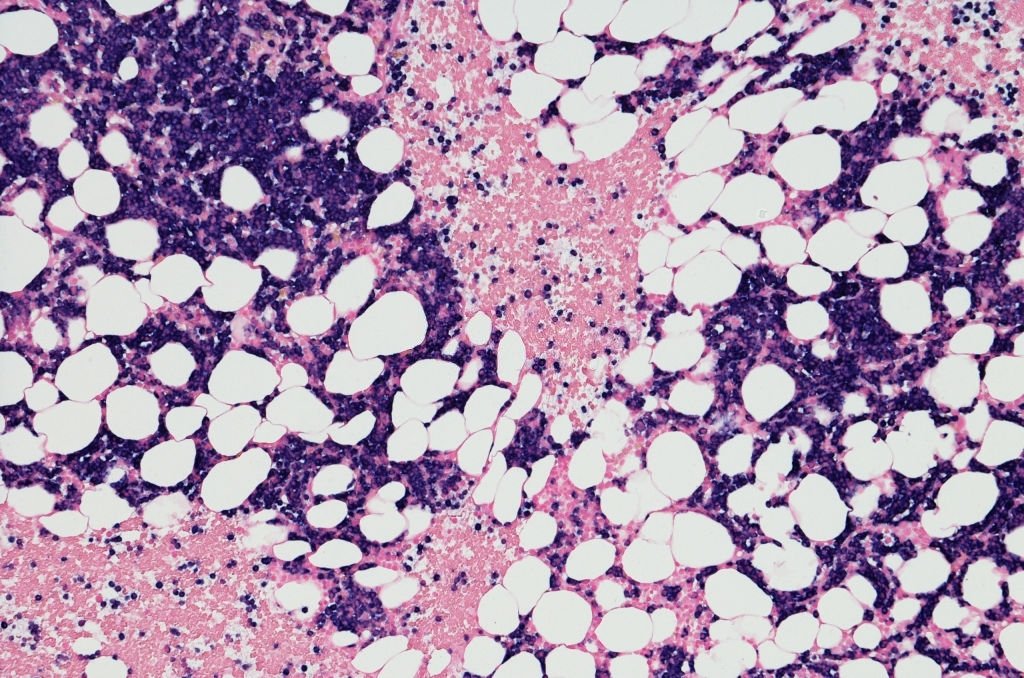
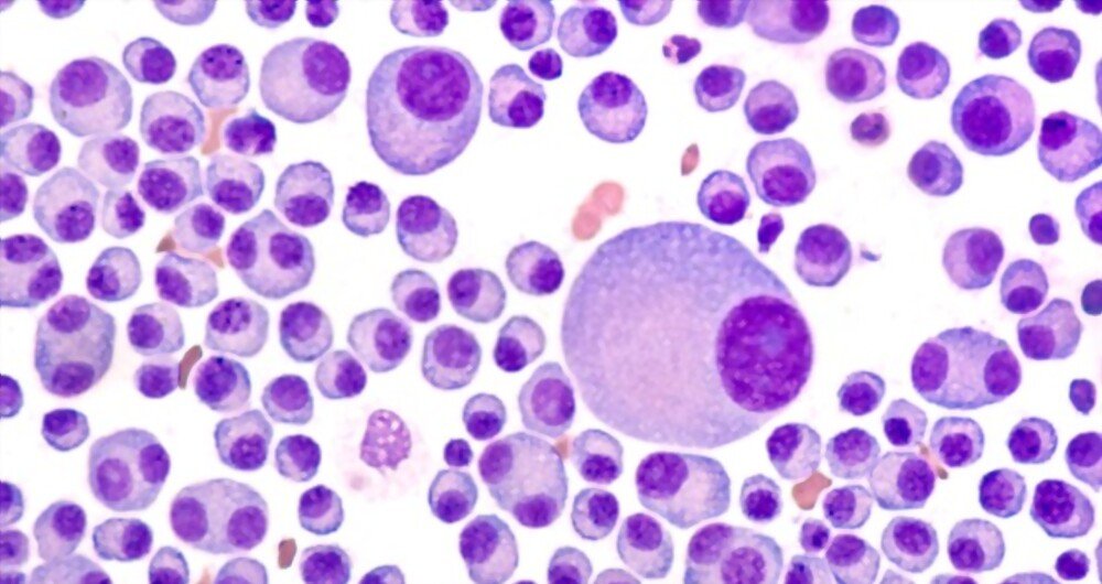
Read more about the article Role of bone marrow transplant in multiple myeloma Bone marrow transplant/ stem cell transplant
Micrograph of myeloma neoplasm bone marrow biopsy. Kappa positive insitu hybridization (ISH positive)

Role of bone marrow transplant in multiple myeloma Bone marrow transplant/ stem cell transplant

A procedure of infusing healthy blood-forming stem cells into human body to replace damaged or diseased bone marrow. Bone marrow transplants may use: cells from your own body (autologous transplant)…

Continue ReadingRole of bone marrow transplant in multiple myeloma Bone marrow transplant/ stem cell transplant